Reservá un turno vía WhatsApp desde la comodidad de tu casa.
Para solicitar el turno, tené a mano la orden médica y datos de tu obra social.
011-7709-6610 | info@imagengamma.com.ar
Implementamos protocolos de higiene y protección para realizar estudios.
Somos un equipo formado hace 20 años por médicos dedicados a la atención de pacientes y realización de estudios de Medicina Nuclear.
Nuestra experiencia se forjó habiendo trabajado en varias instituciones de reconocida trayectoria como Fundación Favaloro, Centro Oncológico de excelencia de la Fundación Mainetti, Hospital de Clínicas de Bs. As. y diversos centros médicos de la ciudad de La Plata.
Desde hace 10 años nuestra sede de Florencio Varela es el único servicio privado de medicina nuclear de la ciudad.
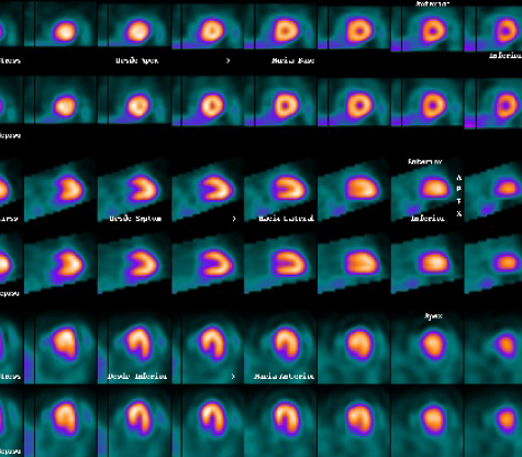
Contamos con un plantel profesional, técnico y administrativo de amplia experiencia en la especialidad y un equipo de cámara gamma SPECT con software específico para la realización de una extensa variedad de estudios de medicina nuclear y su análisis cualitativo y semicuantitativo.
El compromiso es dar respuesta a los profesionales y pacientes que confían en nosotros brindando una cálida y profesional atención.
Nos esforzamos para lograr imágenes de calidad que sean útiles al profesional que las solicita y permitan arribar al mejor diagnóstico posible a través de la Medicina Nuclear.
- Óseo Corporal Total, planar y Spect.
- Curva de Captación y Centellograma Tiroideo.
- Con marcadores de Infección.
- Renal / Radiorrenograma.
- Hepático y Esplénico.
- Miocárdica Spect Gatillado Reposo / Esfuerzo / Prueba farmacológica.
- Ventilación / Perfusión Pulmonar.
- Cerebral Spect.
- Dosis Terapéutica de Iodo 131 para hipertiroidismo y cáncer de tiroides.
- Viabilidad Miocárdica.
- Diagnóstico de Amiloidosis Cardíaca.
- Marcación de Ganglio Centinela.








Integrado por profesionales médicos de amplia experiencia y trayectoria en centros de referencia nacional e internacional.
Especialista en Cardiología UBA-SAC y Medicina Nuclear UBA.
Ex presidenta de la Asociación Argentina de Cardiología Nuclear.
Especialista consultor en Cardiología.
Ex Médico Staff del servicio de Medicina Nuclear Fundación Favaloro. Ex Fellow del servicio de Medicina Nuclear Centre Cardiologique du Nord, París.
Para incorporar obras sociales y prepagas a nuestra cartilla de atención, comunicarse por e-mail o al teléfono 011-7709-6610
Nos pondremos en contacto a la brevedad posible.
Bartolomé Mitre N° 40
Florencio Varela - Buenos Aires
info@imagengamma.com.ar
11-5007-7118
Lunes a Viernes de 9 a 15 hs.